- Goal of evaluating myocardial perfusion with PET imaging is to detect physiologically significant coronary artery narrowing to guide clinical management of patients with known or suspected CAD and those without overt CAD but with cardiovascular risk factors.1
- Normal myocardial perfusion on stress images implies the absence of physiologically significant CAD.
- Abnormal myocardial perfusion on stress images suggests the presence of significantly narrowed coronary arteries.
- Rest vs. Stress: If the stress-induced regional perfusion defect persists on the corresponding paired rest images, it suggests the presence of an irreversible myocardial injury. On the other hand, if the defect on the stress images resolves completely or partially on the rest images, it suggests the presence of stress-induced myocardial ischemia.1
- ⚠️ Don’t be fooled by “balanced ischemia,” i.e. visual interpretation of relative radiotracer uptake may underestimate balanced reduction in blood flow in all three vascular territories.
- Hence why it is important to evaluate MBFR
- Rest imaging should be performed before stress imaging to reduce the impact of residual stress effects (e.g., stunning and steal).1
- Rest-first
- If no perfusion defects → no need to proceed with metabolic images.
- However, an evaluation for ischemia may be helpful if there is uncertainty about whether the severity or burden of coronary artery disease (CAD) results in ischemia. When such uncertainty exists, a quantitative evaluation of myocardial blood flow at stress + rest may be helpful.
- Retrospective data have shown that the presence of abnormal myocardial blood flow reserve may identify patients who are more likely to derive benefit from coronary revascularization.
- Rest-first
- Anatomy of a PET camera
- Detector blocks are made up of many 3-4 mm rectangular crystals and 4 PMTs
- Several detector blocks are combined to form “buckets”
- FOV is typically around 15 cm
- 3 vs 4 ring systems
-20241021125659747.webp)
- For PET alone (compared to hybrid imaging, such as CT), the image intensity reflects organ function and physiology as opposed to anatomy. 1
- Annihilation
- A positron is a positively charged electron.
- Get ejected from nucleus → interacts with a negative electron → annihilation/destruction → 2 gamma photons travel exactly opposite from one another (180˚ apart) → each photon will strike 2 detectors 180˚apart from one another within a short time.
- When a positron spends time near an electron, the two annihilate—they both disappear and in their place two 511-keV gamma rays are emitted.
- Because the gamma rays are nearly collinear (discharged at 180° to each other) and travel in opposite directions, the PET detectors can be programmed to register only events with temporal coincidence of photons that strike directly at opposing detectors.
- If both detectors don’t record event within the ∆ time, it is discarded (“singles” or random).
- The result is improved spatial (4- to 6-mm) resolution when compared with SPECT, as well as temporal resolution.
- The high temporal resolution of PET is also explained by the fact that the imaging device is stationary compared with the rotating imaging gantry for SPECT.
- A positron is a positively charged electron.
- The PET detectors are placed in a ring, surrounding the patient, and are configured to register only photon pairs that strike opposing detectors at approximately the same time, i.e. coincidence detection.1
-20240815221059162.webp)
- Over the course of a typical scan, millions of coincidence events are recorded, and projections of the activity distribution are measured at all angles around the patient. These projections are subsequently used to reconstruct an image of the in vivo radionuclide distribution using the same algorithms as those used in SPECT and x-ray CT.
- PET allows non-invasive evaluation of MBF, function, and metabolism using physiological substrates prepared with positron-emitting radionuclides, such as carbon, oxygen, nitrogen, and fluorine.1
- PET radionuclides reach a more stable configuration by the emission of a positron.1
- Positrons are positively charged particles with the same rest mass as electrons.
- Compared to CCTA, which provides information on the presence and extent of anatomical luminal narrowing of epicardial coronary arteries, stress myocardial perfusion PET provides information on the downstream functional consequences of such anatomic lesions. Thus, with CT systems, complementary information of anatomy and physiology can be obtained during the same imaging session.1
- Hybrid Imaging
- In all cases, the manufacturer starts with a state-of-the-art PET scanner. The manufacturer then adds a CT system, with 64 or more slices.1
- Originally, the CT camera was developed for attenuation correction and anatomical co-localization purposes, more modern machines have CT scanners that are of diagnostic quality, which allows the assessment of both CAC scoring and CT angiography.1
In the presence of left bundle branch block (LBBB), where the septal 18F-FDG uptake is spuriously decreased, the septum should not be used as the site for normalization. Accordingly, the ECG should be reviewed in conjunction with perfusion/viability imaging. 1
Hybrid PET/CT
Ischemia versus Perfusion Defect
Perfusion defect means area of myocardium had less perfusion than another area. True ischemia is a new wall motion abnormality, drop in EF, ST segment ∆. Teased out by “Function” and “Myocardial blood flow quantification.”
- There are 4 Categories of Data Provided by PET/CT MPI That Are Independent From Each Other
- Spatially-relative perfusion (attenuation-corrected)
- Function:
- Rest and peak stress LVEF
- Rest & peak stress regional wall thickening
- Rest & peak stress regional wall motion
- Myocardial blood flow quantification
- Coronary Artery Calcium (CAC)
- Hybrid PET/CT systems provide complementary information of anatomy and physiology can be obtained during the same imaging session
- Although originally the CT component of the hybrid PET/CT camera was developed for attenuation correction and anatomical co-localization purposes, more modern machines have CT scanners that are of diagnostic quality, which allows the assessment of both coronary artery calcium scoring and CT angiography.1
- CT-based attenuation correction typically adds less than 10 seconds to the cardiac scan time.
- The use of the CT image for PET attenuation correction requires a transformation of the observed CT numbers in HU to attenuation coefficients at 511 keV. This transformation is usually accomplished with a bilinear or trilinear calibration curve, with one “hinge” at a CT value of 0 (i.e., hinged at the CT value for water).
- Potential misalignment and misregistration
- The high speed of CT scans, however, freezes the heart and lungs at one phase of the respiratory cycle, causing potential misalignment between the CT-based transmission and emission scans. The latter, of course, are averaged over many respiratory cycles. The respiratory misalignment between the CT image and emission data can produce significant artifacts and errors in apparent uptake in the myocardial segments adjacent to lung tissue. Errors in attenuation correction from misregistration are typically much worse if the CT is acquired at full inspiration, and so the CT is often acquired at either end-expiration or during shallow breathing.1
- Registration is often difficult because the PET and CT portions of all commercial combined PET/CT systems are not coincident (i.e., the PET and CT “slices” are not in the same plane) and the PET and CT gantries are contiguous. In practice, this means that the PET and CT acquisitions do not simultaneously image the same slice. In fact, because the bed must travel different distances into the gantry to image the same slice in the patient for PET versus CT, there is ample opportunity for misregistration via x, y, z misalignment of bed motion—or, of perhaps even greater concern, because of differential ‘‘bed sag’’ for the PET and CT portions, depending on the table design.
Patient Preparation
- Fast for at least 6 hours (water intake allowed)
- Avoid caffeinated drinks for at least 12 hours
- Avoid theophylline-containing medications for at least 48 hours
Hybrid PET/MR
- Hybrid PET/MR - For example, co-registration of 18F-FDG metabolic imaging with morphological, functional, and tissue imaging attributes of MR presents new opportunities for disease characterization, such as cardiac sarcoidosis, hallmarked by inflammatory injury, non-caseating granuloma formation, and organ dysfunction which could be the first clinical application of PET/MR in cardiology.1
PET versus SPECT
- SPECT
- Single photon emission is used for image creation
- Camera “focused” with a collimator
- Low energy (~70-165 keV)
- Attenuation correction is unavailable for many traditional SPECT systems
- Drug typically delivered in unit dose for perfusion
- images are generated with rotating gamma cameras1
- PET
- Two photons from single decay
- Camera “focused” electronically, i.e. no collimator
- High energy (511 keV)
- Attenuation correction simple and necessary
- Currently, most cardiac PET tracers are produced on site
- F-18 FDG is available as unit dose
- typically generated with non-moving circular arrays of scintillation detectors that acquire all projection data simultaneously1
| SPECT | PET | |
|---|---|---|
| Spatial Resolution | X | ~2X |
| Contrast Resolution | X | ~2X |
| Count Density/Unit time | X | ~4X |
| Attentuation Correction | Not usual | Always |
| Scatter compensation | X | ~5X |
PET always has attenuation correction. SPECT on the other hand doesn’t always have it (outside of our lab…)
Advantages of Positron Emission Tomography (PET) over SPECT
-
Compared with SPECT MPI, the advantages of PET MPI include improved spatial resolution, better attenuation correction, and lower radiation dose. These advantages are highly relevant in viability images because they allow better identification of the presence, extent, and severity of scar.
- Moreover, the PET system is more sensitive than a SPECT system due to the higher count rate and provides the possibility of attenuation correction.1
-
Quantification of MBF may provide diagnostic and prognostic information earlier than visual interpretation of relative radiotracer uptake, which is a fundamental disadvantage of the conventional SPECT technique.1
-
It is also possible to combine SPECT MPI with 18F-FDG PET metabolic imaging. 2
-
PET > SPECT, per Dr. Bateman
- allows us to understand entire blood flow to the myocardium (perfusion assessment to the myocardium, but don’t have to worry about false positives d/t attenuation artifact that occurs with SPECT)
- Rest and Peak Stress EF
- ↑ blood flow to myocardium → myocardium contracts more vigorously; EF ↑ → EF from stress > EF at rest
- Quantifies myocardial blood flow (in mL/gm/min)
- quantified at every pixel of the myocardium
- averaged at different segments, coronary territories, and myocardium as a whole
- “reserve” is the ratio between rest and stress
- Coronary Artery Calcium (CAC) scoring
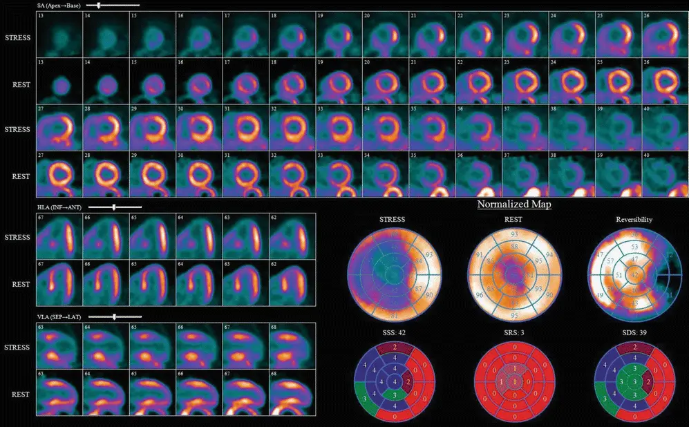
Display of PET Images
- Top: A short-axis view, by slicing perpendicular to the long axis of the LV from apex (left) to base,
- Middle: A vertical long-axis view, by slicing vertically from septum (left) to lateral wall, and
- Bottom: A horizontal long-axis view, by slicing from the inferior (left) to the anterior wall
-20240815222535828.webp)
- ⚠️ Visual assessment of resting myocardial uptake of the radiotracer reflects the distribution of MBF in “relative” terms (i.e., relative to their regions of the LV myocardium) and not in “absolute” terms (i.e., mL/min/gm myocardial tissue). Thus, in some patients with multivessel CAD, it is possible that all myocardial regions are in fact hypoperfused at rest in “absolute” terms (i.e., characterized as balanced reduction in blood flow) and yet appear normal in “relative” terms.
Correlation with Coronary Artery Territories
- LAD: anterior, septal, and apical segments
- RCA: inferior and basal septal segments
- LCx: lateral segments
- ⚠️ The apex can also be supplied by the RCA and LCx
Polar Maps
- Represent a 2D compilation of all the 3D short-axis perfusion data.
- The 2D compilation of perfusion and metabolism data can then easily be assigned to specific vascular territories.
- ⚠️ These derivative polar maps should NOT be considered a substitute for the examination of the standard short-axis and long-axis cardiac tomographic slices.
-20240923133005534.webp)
Reading a Normal PET
- Steps
- Review Transmission and Emission images
- Ensure that the CT and perfusion images are properly aligned/registered with one another. If not aligned, you’ll have to tweak things so that you have good co-registration.
- Adjust the reconstruction planes
- Review rest and stress reconstructed images
- Score the polar maps
- Review the rest and stress gated images/dyssnchrony/ histogram?
- Review the blood flow
- Review the CT images
- Generate a clinically meaningful report
- Review Transmission and Emission images
CONCLUSIONS:
1. PET Perfusion Study: Normal.
2. No evidence of ischemia.
3. No evidence of scarred myocardium.
4. Left ventricle is normal in size. The left ventricle systolic function is normal.
5. Right ventricle is normal in size. The right ventricle systolic function is normal.
6. This is a low risk scan.
7. Incidental Findings from limited non-diagnostic CAC:
- Coronary calcifications visualized.
Prior Study Comparison Prior nuclear cardiology exam was performed on
[10/09/2018]. Shows no change.Quality Control
Histogram for HR
Histogram to assess for Dyssnchrony
Reporting PET Findings
- Some institutions will use the appropriate use criteria (AUC) as the indication for the test.
Footnotes
-
Dilsizian V, Bacharach SL, Beanlands RS, et al. ASNC imaging guidelines/SNMMI procedure standard for positron emission tomography (PET) nuclear cardiology procedures. Journal of Nuclear Cardiology. 2016;23(5):1187-1226. doi:10.1007/s12350-016-0522-3 ↩ ↩2 ↩3 ↩4 ↩5 ↩6 ↩7 ↩8 ↩9 ↩10 ↩11 ↩12 ↩13 ↩14 ↩15 ↩16 ↩17 ↩18
-
Garcia, M. J., Kwong, R. Y., Scherrer-Crosbie, M., Taub, C. C., Blankstein, R., Lima, J., Bonow, R. O., Eshtehardi, P., & Bois, J. P. (2020). State of the Art: Imaging for Myocardial Viability: A Scientific Statement From the American Heart Association. Circulation: Cardiovascular Imaging, 13(7). https://doi.org/10.1161/hci.0000000000000053 ↩